Implants
Dental implants – the better alternative
A radiant, happy smile often says more than a thousand words. When we have beautiful teeth we just feel good, express a lust for life and self assurance. But with a strong set of teeth we can enjoy our food and bite into whatever we want.
Many people, however, are unaware of the important medical function of a healthy set of teeth; the natural masticatory forces load the jawbones, thus helping to maintain them. If this load decreases due to loss of teeth, bone loss is inevitable. Like our own teeth, implants maintain the function and chewing load of the jawbone.
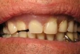
When we lose teeth – whether due to caries, periodontal disease or trauma – we want a replacement that restores our natural appearance and the function of our teeth as much as possible. A denture can meet these demands only to a limited extent: We can no longer bite properly – and bone loss results. With a bridge, healthy adjacent teeth might have to be milled, and this is also with certain risks.
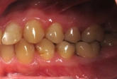
The modern alternative that has been used in everyday practice for decades and which has proven itself in thousands of cases is the dental implant. The implant is firmly anchored in the jaw and replaces the root of the tooth. In the ideal case any tooth lost can be replaced with an implant onto which a crown is then fixed exactly where the old tooth was, without affecting appearance or chewing function. But implants can also serve to firmly anchor a bridge or stabilize removable dentures in the jaw.
The actual treatment steps can only be planned and discussed on the basis of a detailed examination and diagnosis. We will compile a treatment and a proforma invoice showing all the planned measures and the expected costs. When the patient decides, treatment can start. Speaking of financial issues, implant treatment is input-intensive and therefore not cheap. But an optimal dental prosthesis - both esthetically and from the medical point of view - should be worth that to you. Recent studies have shown that, in the long term, implantation can even be cheaper than conventional methods, which may require many additional treatments.
Diagnosis and treatment planning for implants are quite extensive but they are important factors for the success of the treatment. The surgery is generally performed on an out-patient basis and under a local anesthesia. The actual treatment is therefore painless and for the patient it is similar to having a tooth extraction. The implant insertion of a single tooth, that is the drilling of the jawbone and the insertion of the implant into the bone followed by suturing, is a routine operation in our clinic. Swellings of the cheek or lips may occur, but usually disappear after a day or two.






